Waste from our operations and the importance of good ‘housekeeping’
Waste from forestry and harvesting activities on our sites includes oil and fuel drums, waste oil, filters, plastic tree bags, old fencing materials, waste ammunition from wildlife management activities and so on.
It is not often we see waste left on our sites, but when it does occur it has the potential to cause serious incidents. Plastic bags left on site breakdown and further pollute our environment, they can also contribute to blocking culverts resulting in flooding.
Waste left on site can pose a risk to wildlife, livestock and other animals and can also bring us complaints from the public.
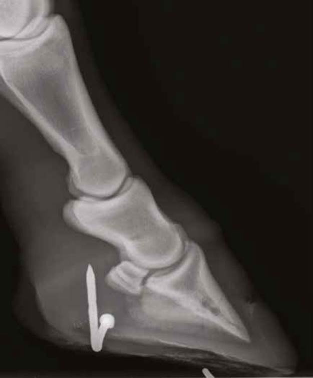
The photo, in the headline, shows a nail penetrating a horse’s hoof picked up on a bridlepath running through a woodland. This wasn’t one of our sites but it illustrates the inadvertent consequences of poor housekeeping on a site following fencing activities.
An incident such as this can result in significant veterinary costs, with the
horse possibly having to be put down.
Waste attracts waste
Waste attracts waste, if we leave sites untidy then we run the risk of attracting further waste through fly-tipping on site and other consequences.
Waste Duty of Care
There is a raft of legal requirements concerning duty of care and waste management.
Anyone producing waste must take all reasonable steps to:
• Prevent unauthorised disposal of waste
• Store waste securely to prevent spread or contamination.
• Make sure that anyone receiving waste is authorised to take it.
• Make sure that waste type is accurately described, for example is it hazardous, non-hazardous waste (called special waste in Scotland)
It is a criminal offence to not comply with basic waste duty of care requirements.
Significant penalties and fines can be applied where waste duty of care is not met.
We all have a part to play in making sure our sites are well maintained with waste promptly removed and good housekeeping to ensure waste isn’t on site, or poorly stored enabling it to be able to blow away.
Old wire and other metals should be promptly removed from site.
Old pipework left on site will encourage fly-tipping.

